WIDE RANGE Gel Preparation Buffer(4x) for PAGE
本製品は、均一ゲルと同じ作製方法でグラジエントゲルのように分析範囲が広いゲルを作製することができる、ゲル調製用緩衝液です。泳動用緩衝液や試料緩衝液は従来法(Laemmli 法)と同じものを使用できます。また、CBB 染色、銀染色などの染色法においても、通常のゲルと同様に染色が可能です。
- グラジエントゲルのような分離が可能
- 均一ゲルと同様の簡単な作製方法
- 分離ゲル / 濃縮ゲルの調製に緩衝液の使い分け不要
- ゲルの保存性や強度が向上
製品説明
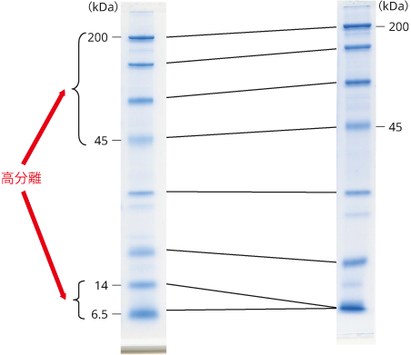
SDS-PAGE による分離能の比較
本製品使用ゲル(10%)および Laemmli 法組成ゲル(12%)、プレキャストグラジエントゲルを用いて泳動しました。本製品使用ゲル(10%)を用いることで、従来の Laemmli 法組成ゲル(12%)では分離できなかった低分子タンパク質(6.5、14 kDa)を分離することができました。また、高分子領域におけるバンド(45 ~ 200 kDa)の移動度は大きくなりました。本製品を使用することで、均一ゲルでありながらグラジエントゲルと同様に幅広い分子量を分離できました。
| 均一ゲル | プレキャストグラジエントゲル | |||
|---|---|---|---|---|
| 本製品使用ゲル(10%) | Laemmli 法組成ゲル(12%) | A 社製品(5-20%) | B 社製品(8-16%) | C 社製品(5-20%) |
![]() |
![]() |
![]() |
![]() |
|
| <実験条件> | ||
| サンプル | : | タンパク質マーカー(10倍濃縮)(#29458-24)を 1 × になるように調製し使用 |
| 染色 | : | CBB Stain One(#04543) |
ゲルの調製方法と泳動パターン
本製品は 4 倍濃縮の中性緩衝液です。本製品に SDS は含まれていません。以下では、40(w/v)% アクリルアミド / ビス混合液を用いて SDS-PAGE 用ポリアクリルアミドゲルを作製する場合の例を紹介します。Laemmli 法におけるゲル調製用緩衝液(トリス - 塩酸緩衝液)の代わりに本製品を用いて分離ゲルと濃縮ゲルを作製します。
※30(w/v)% アクリルアミド / ビス混合液をご使用の場合の調製方法は取扱説明書をご参照ください。
分離ゲルの調製(単位 : mL)
| アクリルアミド濃度 | 構成成分 | 10 mL | 20 mL | 30 mL | 40 mL |
|---|---|---|---|---|---|
| 6% | 精製水 | 5.9 | 11.8 | 17.7 | 23.6 |
| 40(w/v)% アクリルアミド / ビス混合液 | 1.5 | 3.0 | 4.5 | 6.0 | |
| 本製品 | 2.5 | 5.0 | 7.5 | 10.0 | |
| 10(w/v)% ペルオキソ二硫酸アンモニウム溶液 | 0.1 | 0.2 | 0.3 | 0.4 | |
| TEMED | 0.008 | 0.016 | 0.024 | 0.032 | |
| 8% | 精製水 | 5.4 | 10.8 | 16.2 | 21.6 |
| 40(w/v)% アクリルアミド / ビス混合液 | 2.0 | 4.0 | 6.0 | 8.0 | |
| 本製品 | 2.5 | 5.0 | 7.5 | 10.0 | |
| 10(w/v)% ペルオキソ二硫酸アンモニウム溶液 | 0.1 | 0.2 | 0.3 | 0.4 | |
| TEMED | 0.006 | 0.012 | 0.018 | 0.024 | |
| 10% | 精製水 | 4.9 | 9.8 | 14.7 | 19.6 |
| 40(w/v)% アクリルアミド / ビス混合液 | 2.5 | 5.0 | 7.5 | 10.0 | |
| 本製品 | 2.5 | 5.0 | 7.5 | 10.0 | |
| 10(w/v)% ペルオキソ二硫酸アンモニウム溶液 | 0.1 | 0.2 | 0.3 | 0.4 | |
| TEMED | 0.006 | 0.012 | 0.018 | 0.024 | |
| 12% | 精製水 | 4.4 | 8.8 | 13.2 | 17.6 |
| 40(w/v)% アクリルアミド / ビス混合液 | 3.0 | 6.0 | 9.0 | 12.0 | |
| 本製品 | 2.5 | 5.0 | 7.5 | 10.0 | |
| 10(w/v)% ペルオキソ二硫酸アンモニウム溶液 | 0.1 | 0.2 | 0.3 | 0.4 | |
| TEMED | 0.006 | 0.012 | 0.018 | 0.024 |
濃縮ゲルの調製(単位 : mL)
| アクリルアミド濃度 | 構成成分 | 2 mL | 4 mL | 6 mL | 8 mL |
|---|---|---|---|---|---|
| 3% | 精製水 | 1.33 | 2.66 | 3.99 | 5.32 |
| 40(w/v)% アクリルアミド / ビス混合液 | 0.15 | 0.3 | 0.45 | 0.6 | |
| 本製品 | 0.5 | 1.0 | 1.5 | 2.0 | |
| 10(w/v)% ペルオキソ二硫酸アンモニウム溶液 | 0.02 | 0.04 | 0.06 | 0.08 | |
| TEMED | 0.002 | 0.004 | 0.006 | 0.008 |
泳動パターン
| ゲル濃度 | 6% | 8% | 10% | 12% |
|---|---|---|---|---|
| 泳動パターン | ![]() |
![]() |
![]() |
![]() |
ゲル強度
本製品を添加すると、6% ゲルでも Laemmli 法組成 10% ゲルに近い強度があり、泳動後のゲルの取り扱いが容易になります。

製品使用例
ウェスタンブロッティング
本製品使用ゲルにおいても、従来の Laemmli 法組成ゲルと同条件のままウェスタンブロッティングで検出できました。
| 本製品使用ゲル(10%) | Laemmli 法組成ゲル(12%) |
|---|---|
![]() |
![]() |
| <実験条件> | ||
| 電気泳動 | : | 本製品使用ゲル(10%)、Laemmli 法組成ゲル(12%) |
| サンプル | : | ➀ Chemi-Lumi One Markers Kit(#06456-70)、➁ HeLa 細胞タンパク質抽出液 |
| 転写 | : | PVDF メンブレン 10 V、30 分 |
| ブロッキング | : | Blocking One(#03953) 60 分 |
| 一次抗体 | : | 抗β-アクチンモノクローナル抗体(マウス)(200 倍希釈) 60 分 |
| 二次抗体 | : | 抗マウス IgG〔H+L〕(ヤギ),HRP 標識(5,000 倍希釈) + Streptavidin(HRP Conjugate)(10,000 倍希釈) 60 分 |
| 検出 | : | Chemi-Lumi One Super(#02230) |
二次元電気泳動および銀染色への適用

| <実験条件> | ||
| サンプル | : | HL-60 細胞由来タンパク質 |
| 等電点電気泳動用ゲル | : | Immobiline DryStrip pH 4-7(Cytiva) |
| SDS-PAGE 用ゲル | : | 本製品使用ゲル(12%) |
| 染色 | : | Sil-Best Stain One(#06865-81) |
Immobiline は、Cytiva として事業を行う Global Life Sciences Solutions USA LLC およびその関連会社の登録商標です。
顧客使用例
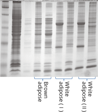
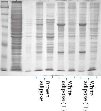
マウス脂肪組織タンパク質の分離
マウス脂肪組織より抽出したタンパク質を WIDE RANGE Gel および Laemmli 法組成ゲルを用いて泳動しました。
SDS-PAGE および CBB 染色
| 本製品使用ゲル(10%) | Laemmli 法組成ゲル(10%) |
|---|---|
![]() |
![]() |
| <実験条件> | ||
| サンプル | : | マウス脂肪組織抽出物 |
| ゲル | : | 10% ポリアクリルアミドゲル |
| 染色 | : | CBB 染色 |
ウェスタンブロッティング
| 抗原 | Cytochrome C | Histone | Insulin receptor |
|---|---|---|---|
| ブロッティング像 | ![]() |
![]() |
![]() |
| <実験条件> | ||
| サンプル | : | マウス脂肪組織抽出物 |
| ゲル | : | 10% ポリアクリルアミドゲル |
二次元電気泳動
| 本製品使用ゲル(9%) | Laemmli 法組成ゲル(9%) |
|---|---|
![]() |
![]() |
| <実験条件> | ||
| サンプル | : | マウス脂肪組織抽出物 |
| 等電点電気泳動用ゲル | : | pH3-11NL |
| SDS-PAGE 用ゲル | : | 9% ポリアクリルアミドゲル |
| 染色 | : | SYPRO Ruby |
[使用者の評価]
均一ゲル作製と同作業で容易にグラジエント様の効果が得られ、SDS-PAGE、ウェスタンブロッティングにおいて良好な結果が得られた。二次元電気泳動においては切り出しが容易に実施できた。また、ゲル強度も強くて扱いやすかった。
WIDE RANGE Gel の MS への適用
WIDE RANGE Gel および Laemmli 法組成ゲルにて BSA を泳動し、ゲルネガティブ染色キットにより染色、切り出したタンパク質のバンドを処理し、MS により解析しました。
| 本製品使用ゲル | Laemmli 法組成ゲル |
|---|---|
![]() |
![]() |
[使用者の評価]
WIDE RANGE Gel Preparation Buffer を添加したゲルにおいても、Laemmli 法組成ゲルと同様のペプチドピークが同程度のイオン強度で検出された。Laemmli 法組成ゲルと全く同等の操作・状況で各工程が実施でき、ゲルの切り出し、アルキル化、ペプチド断片の溶出なども全く差がなかった。また、Laemmli 法組成ゲルと比較し、WIDE RANGE Gel Preparation Buffer を用いたゲルは、ゲル強度が高くなることから、取り扱いが容易であった。
大豆タンパク質の分離
大豆より抽出したタンパク質を WIDE RANGE Gel および Laemmli 法組成ゲルにより分離し、SYPRO Ruby 染色およびウェスタンブロッティングにより検出を行いました。
| SYPRO Ruby 染色 | ウェスタンブロッティング | ||||||||||||||
|---|---|---|---|---|---|---|---|---|---|---|---|---|---|---|---|
| 本製品使用ゲル(10%) | Laemmli 法組成ゲル(10%) | 本製品使用ゲル(10%) | Laemmli 法組成ゲル(15%) | ||||||||||||
![]() |
![]() |
|
|||||||||||||
| <実験条件> | ||
| サンプル | : | ① 大豆品種 1、② 大豆品種 2 |
[使用者の評価]
SDS-PAGE 後の蛍光染色、ウェスタンブロッティングへの適用も問題はなかった。低分子量域もほぼ均等に分離し、動植物由来サンプルなど、広範囲の分子量のタンパク質を網羅的に分離するには非常に便利である。また、ゲル強度が従来のものよりも強くて扱いやすく、学生実験などには好都合と思われる。
FAQ(よくあるご質問/トラブルシュート)
- WIDE RANGE ゲル調製用緩衝液(4 倍濃縮)はどのような製品ですか?
- 本製品は、SDS-PAGE 用の分離ゲルおよび濃縮ゲルの調製に用いる緩衝液です。 均一ゲルと同じ作製方法で、グラジエントゲルのような幅広いレンジのタンパク質が分離可能なゲルを作製することができます。
- 使用方法を教えてください。
- 本製品を従来ご使用の分離ゲル調製用緩衝液(4 倍濃縮)および濃縮ゲル調製用緩衝液(4 倍濃縮)の代わりに添加して、ゲルの作製を行ってください。 泳動用緩衝液および試料緩衝液には、Laemmli 組成の溶液をご使用ください。使用方法の詳細は、取扱説明書をご参照ください。また、よく解る実験プロトコル 電気泳動には、本製品を用いたゲル作製方法の動画も掲載しておりますので、併せてご参照ください。
- WIDE RANGE ゲル調製用緩衝液(4 倍濃縮)を用いて 5-20% のグラジエントゲルに近い分離を得るためには、どのくらいの濃度のゲルを作製すればよいですか?
- 5-20% のグラジエントゲルに近い分離を得るためには、本製品を用いて 10% のゲルを作製してください。 BULLETIN L-121 に、本製品を用いて作製したゲルと他社グラジエントゲルの分離の比較、および本製品を用いて作製したゲルにおける濃度の違いによる分離の違いを比較したデータを掲載しておりますので、ご参照ください。
- WIDE RANGE ゲル調製用緩衝液(4 倍濃縮)を用いて作製したゲルの強度は、Laemmli 法組成ゲルよりも強いですか?
- 本製品を用いて作製したゲルは、Laemmli 法組成ゲルより低いゲル濃度でもゲル強度が高く、泳動ゲルの取り扱いが容易です。 例えば、本製品を用いて作製した 6% ゲルは、 Laemmli 法組成 10% ゲルに近い強度があります。当社 HP に、本製品で作製したゲルの強度を示す写真を掲載しておりますので、ご参照ください。
- WIDE RANGE ゲル調製用緩衝液(4 倍濃縮)を用いて作製したゲルは、どのくらいの期間保存することができますか?
- 本製品を用いて作製したゲルは、冷蔵かつ密封し乾燥を避けた状態で、約 3 ヶ月の保存が可能です。
- WIDE RANGE ゲル調製用緩衝液(4 倍濃縮)を用いて作製したゲルで二次元電気泳動を行うことは可能ですか?
- 可能です。 本製品を用いて作製したゲルで二次元電気泳動を行った例が、当社 HP および BULLETIN L-121 に掲載されておりますので、ご参照ください。また、よく解る実験プロトコル 電気泳動に本製品を用いた二次元電気泳動のプロトコルを掲載しておりますので、併せてご参照ください。
- WIDE RANGE ゲル調製用緩衝液(4 倍濃縮)を用いて作製したゲルで Native-PAGE を行うことは可能ですか?
- 本製品は SDS 不含ですので、Native-PAGE 不可の要素はありませんが、当社ではデータを保有しておりません。 したがって、予備検討を行っていただく必要があります。
- WIDE RANGE ゲル調製用緩衝液(4 倍濃縮)を用いて作製したゲルで電気泳動を行った後、MS への適用は可能ですか?
- 可能です。 本製品を用いて作製したゲルで電気泳動後、MS 解析を行った例がよく解る実験プロトコル 電気泳動に掲載されておりますので、ご参照ください。
- WIDE RANGE ゲル調製用緩衝液(4 倍濃縮)を用いて作製したゲルで電気泳動を行った後、銀染色を行うことは可能ですか?
- 可能です。 ただし、銀染色には、シルべストステインワン(#06865)を推奨しております。シルベストステインワン以外の銀染色試薬を使用し、バックグラウンドが上がる場合は、固定を 40 分以上行ってください。本製品を用いて作製したゲルで電気泳動後、銀染色を行った例が当社 HP および BULLETIN L-121 に掲載されておりますので、ご参照ください。
- WIDE RANGE ゲル調製用緩衝液(4 倍濃縮)を用いて作製したゲルは、糖タンパク質に適用可能ですか?
- BULLETIN L-121 ではタンパク質マーカー(#29458)をサンプルとした分離例を掲載しておりますが、その中で分子量 45 kDa のバンドは糖タンパク質のオボアルブミンです。 当社では、本製品を用いて作製したゲルにおいて、オボアルブミン以外の糖タンパク質に関する知見は保有しておりません。過去の問い合わせでは、本製品で作製したゲルを糖タンパク質検出キット(Pierce™ Glycoprotein Staining Kit、#29562)で検出した際に、バックグラウンドがすべて染色されたという報告があります。
- WIDE RANGE ゲル調製用緩衝液(4 倍濃縮)を用いて作製したゲルは、リン酸化タンパク質に適用可能ですか?
- 本製品は、りん酸化タンパク質の分析を妨害する要素はありませんが、当社では分析データを保有しておりません。 したがって、予備検討を行っていただく必要があります。
- 濃縮ゲルを作製せず、本製品を用いて作製した分離ゲルのみで泳動を行うことは可能ですか?
- 濃縮ゲルを作製せず、分離ゲルのみをゲルフレームに流し込み、コームをセットすると、ゲルの上部に気泡が入った状態で固化する傾向があります。 ゲル中の気泡は、泳動後のタンパク質のバンドの形状に影響を与えます。そのため、プロトコル通り、分離ゲルを固化させた後、濃縮ゲルを重層してください。
- WIDE RANGE ゲル調製用緩衝液(4 倍濃縮)を用いて作製したゲルで電気泳動を行った際に、10 kDa ~ 40 kDa の低分子域の分離が悪い場合、改善策はありますか?
- ゲル濃度を高めることやゲルサイズを大きくして泳動距離を伸ばすことにより、低分子域の分離が改善される場合がありますで、お試しください。
- WIDE RANGE ゲル調製用緩衝液(4 倍濃縮)を用いて作製したゲルで電気泳動を行った際に、高分子域の分離が悪い場合、改善策はありますか?
- Laemmli 組成ゲルと同じアクリルアミド濃度で本製品を用いてゲルを作製した場合、低分子側での分離は改善しますが、高分子側で分離が改善されないことがあります。 アクリルアミド濃度を 2% 程度下げてご使用ください。取扱説明書に、本製品と Laemmli 組成ゲルのゲル濃度と泳動像を比較したデータを掲載しておりますので、ご参照ください。
- バンドがスメアになった場合、改善策はありますか?
- タンパク質電気泳動において、バンドがスメアになる場合、タンパク質の還元が不十分であることやタンパク質量が多いことが原因である可能性があります。 試料緩衝液を新しいものに調製し直すことや、泳動するタンパク質量を減らすことをお試しください。よく解る実験プロトコル 電気泳動にトラブルシューティングを掲載しており、バンドがスメアになる原因と改善策を記載しておりますので、ご参照ください。
- バンドの形がおかしい場合、改善策はありますか?
- タンパク質電気泳動において、バンドの形がおかしい場合、ゲル調製、サンプル調製、アプライ、電気泳動といった様々な操作工程中に原因が潜んでいます。 例えば、サンプル調製においては、サンプル中に高濃度の塩類等、泳動に影響する干渉物質が含まれていることが原因である可能性があります。よく解る実験プロトコル 電気泳動にトラブルシューティングを掲載しており、各操作工程におけるバンドの形がおかしい原因と改善策を記載しておりますので、ご参照ください。
- WIDE RANGE ゲル調製用緩衝液(4 倍濃縮)を用いて分離ゲルを作製した際に、重層液として 1-ブタノールを使用すると、1-ブタノールが白く濁る場合、改善策はありますか?
- 本製品を用いて分離ゲルを作製する場合、重層液として 1-ブタノール等のアルコールを使用すると、アルコール中に白濁が生じる場合があります。 分離や染色に影響はありませんが、気になるようでしたら、重層液には精製水をご使用ください。
- WIDE RANGE ゲル調製用緩衝液(4 倍濃縮)を用いて作製したゲルで、プレステインドマーカーとサンプルを流したところ、マーカーとサンプルのバンドの位置がずれた場合、改善策はありますか?
- マーカーとして、色素が結合した製品を用いられていることが原因である可能性があります。 プレステインドマーカーは、使用するゲル濃度や種類(均一ゲルかグラジエントゲルか)によって分子量値が異なることがありますので、SDS-PAGE での分離確認やウェスタンブロッティングでの転写確認の目安としてご使用いただく製品です。分子量の測定には、未着色のタンパク質マーカー(#29458)をご使用ください。
- ゲルの調製時に SDS を添加しても問題ありませんか?
- 当社では、濃縮ゲルに SDS を添加した場合、問題なく電気泳動を行えたことを確認しておりますが、分離ゲルにおいてはデータを保有しておりません。 そのため、予備検討を行っていただく必要があります。本製品は SDS 不含ではありますが、試料緩衝液および泳動用緩衝液に含まれる SDS により、SDS-PAGE の分離が得られます。
- これまでトリス緩衝液で作製したゲルを使用していましたが、WIDE RANGE ゲル調製用緩衝液(4 倍濃縮)で作製したゲルを使用した際に、1 本のバンドだったものが 2 本になった場合、原因を教えてください。
- トリス緩衝液で作製したゲルと本製品で作製したゲルでは、分離パターンが異なるため、今まで分離していなかったタンパク質が分離された可能性があります。 サンプル中に、分子量の近いタンパク質が複数含まれる場合、上記のような現象が起こりやすくなります。
価格表
| 製品名 | 規格 | 貯法 | 製品番号 | 容量 | オンライン カタログへ |
|---|---|---|---|---|---|
| WIDE RANGE Gel Preparation Buffer(4x) for PAGE | SP(電気泳動用) | 冷蔵 | 07831-94 | 250 mL |
※本製品には、SDS は含まれていません。
関連製品
※研究者の皆さまのご所属などは、データご提供時の情報に基づいています。
※掲載内容は予告なく変更になる場合があります。

























