Bullet Semi-dry Transfer One
Bullet Semi-dry Transfer One は、セミドライ式ブロッティング用の転写緩衝液です。アクリルアミドゲルからウェスタンブロッティングを行う際に、本製品を転写緩衝液として使用するだけで、わずか 10 分で転写を完了させることができます。
- 高速で転写が完了
- 幅広い分子量を効率良く転写
- ゲルの平衡化処理不要
製品説明
従来転写法との比較
Bullet PAGE One Precast Gel にて電気泳動後、本製品を用いた高速転写(セミドライ式)および従来転写(セミドライ式およびタンク式)を行い、GAPDH の検出を行いました。本製品はわずか 10 分の高速転写で、従来法とほぼ同等の検出を行うことができます。
| 転写条件 | ブロッティング像 | |
|---|---|---|
| 高速転写 | Bullet Semi-dry Transfer One(#15353-01) 25 V、10 分 セミドライ式転写(平衡化不要) |
![]() |
| 従来転写 | セミドライ ウェスタンブロッティング用転写緩衝液(#30650-31) 10 V、45 分 セミドライ式転写(15 分平衡化を実施) |
![]() |
| Towbin 法組成転写緩衝液* 100 V、60 分 タンク式転写(15 分平衡化を実施) *25 mM Tris、192 mM Glycine、20% MeOH |
![]() |
|
| <実験条件> | ||||
| サンプル | : | HeLa 細胞懸濁液(4 μg から 2 倍希釈系列) | ||
| SDS-PAGE | : | Bullet PAGE One Precast Gel, 5-15%, 17wells(販売終了) 400 V | ||
| 転写 | : | 表内の記載条件にて転写 | ||
| ブロッキング | : | Bullet Blocking One for Western Blotting(#13779) 室温 5 分 | ||
| 一次抗体 | : | GAPDH Antibody(Novus #NB300-322)10,000 倍希釈 Bullet ImmunoReaction Buffer(#18439-85)を用いて希釈 室温 30 分 |
||
| 二次抗体 | : | Goat anti-Rabbit IgG (H+L) Secondary Antibody [HRP] (Pre-adsorbed)(Novus #NB7187)200,000 倍希釈 Bullet ImmunoReaction Buffer(#18439-85)を用いて希釈 室温 30 分 |
||
| 検出 | : | ChemiDoc Touch MP 3 × 3 ビニング (バイオ・ラッド ラボラトリーズ)(露光時間 3 分) Chemi-Lumi One Super(#02230) |
||
各種ゲルの本製品による高速転写
各種ゲルにて電気泳動後、本製品により高速転写を行い、EGFR、 β-Actin および Histone H3 を検出しました。低分子(Histon H3)から高分子(EGFR)まで、幅広くタンパク質が転写、検出されました。
| 使用ゲル | Bullet PAGE One Precast Gel |
Extra PAGE One Precast Gel |
Laemmli 法ゲル (自家調製) |
WIDE RANGE Gel (自家調製) |
|
|---|---|---|---|---|---|
| ブロッティング像 | EGFR (175 kDa) |
![]() |
![]() |
![]() |
![]() |
| β-Actin (42 kDa) |
![]() |
![]() |
![]() |
![]() |
|
| Histone H3 (17 kDa) |
![]() |
![]() |
![]() |
![]() |
|
| <実験条件> | |||||
| サンプル | : | HeLa 細胞懸濁液(10 μg から 2 倍希釈系列) | |||
| SDS-PAGE | : | Bullet PAGE One Precast Gel, 5-15%, 17wells(販売終了)400 V Extra PAGE One Precast Gel, 5-15%, 17wells(#13062-84)300 V Laemmli 法ゲル(EGFR ; 6%, β-Actin ; 12%, Histone H3 ; 15%)200 V WIDE RANGE Gel*(EGFR ; 6%, β-Actin ; 10%, Histone H3 ; 12%)200 V *WIDE RANGE Gel Preparation Buffer(4x) for PAGE(#07831-94)を使用して調製 |
|||
| 転写 | : | Bullet Semi-dry Transfer One(#15353-01)25 V、10 分 PVDF(ポアサイズ ; 0.45 μm)を使用 | |||
| ブロッキング | : | Bullet Blocking One for Western Blotting(#13779)室温 5 分 | |||
| 一次抗体 | : | [EGFR] EGF Receptor (D38B1) XP Rabbit mAb(CST #4267)2,000 倍希釈 Signal Enhancer HIKARI for Western Blotting and ELISA(#02270-81)A 液を用いて希釈 室温 60 分 [β-Actin] β-Actin 抗体 (C4) (Santa Cruz #sc-47778)5,000 倍希釈 Bullet ImmunoReaction Buffer(#18439)を用いて希釈 室温 30 分 [Histone H3] Histone H3 (D1H2) XP Rabbit mAb(CST #4499)2,000 倍希釈 Bullet Blocking One for Western Blotting(#13779)を用いて希釈 室温 60 分 |
|||
| 二次抗体 | : | [EGFR] Goat anti-Rabbit IgG (H+L) Secondary Antibody [HRP](Pre-adsorbed)(Novus #NB7187)50,000 倍希釈 Signal Enhancer HIKARI for Western Blotting and ELISA(#02270-81)B 液を用いて希釈 室温 60 分 [β-Actin] Goat anti-Rat, Mouse IgG (H+L) Secondary Antibody [HRP](Pre-adsorbed)(Novus #NB7574)80,000 倍希釈 Bullet ImmunoReaction Buffer(#18439-85)を用いて希釈 室温 30 分 [Histone H3] Goat anti-Rabbit IgG (H+L) Secondary Antibody [HRP](Pre-adsorbed)(Novus #NB7187)30,000 倍希釈 Bullet Blocking One for Western Blotting(#13779)を用いて希釈 室温 60 分 |
|||
| 検出 | : | ChemiDoc Touch MP 3 × 3 ビニング(バイオ・ラッド ラボラトリーズ)(AUTO モード) [EGFR] Chemi-Lumi One Super(#02230) [β-Actin] Chemi-Lumi One L(#07880) [Histone H3] Chemi-Lumi One Super(#02230) |
|||
転写条件
本製品は転写時に高電流が発生します。そのため、高電流を出力できない、もしくは出力可能ワット数が小さいパワーサプライでは十分に転写が行われないことがあります。以下の表の各ゲル 1 枚あたりの最大電流値を参考に、パワーサプライの性能をご確認の上、ご使用ください。 高電流に対応できない場合は、10 V 定電圧で 30 分転写を行うことで、25 V 定電圧 10 分と同等の転写効率を得ることができます。
| Bullet PAGE Plus Precast Gel (5-20%) |
Extra PAGE One Precast Gel (5-20%) |
|||
|---|---|---|---|---|
| ろ紙・メンブレン のサイズ |
7.0 × 8.5 cm | 9.0 × 9.0 cm | ||
| 電圧 | 25 V | 10 V | 25 V | 10 V |
| 転写時間 | 10 分 | 30 分 | 10 分 | 30 分 |
| 最大電流値 (転写開始時) |
約 1.3 A | 約 490 mA | 約 1.7 A | 約 600 mA |
| 転写後染色像 ▶ 200 kDa ▶ 45 kDa ▶ 21.5 kDa |
![]() |
![]() |
![]() |
![]() |
| Laemmli 法ゲル(自家調製)(12%) | WIDE RANGE Gel(自家調製)(10%) | |||
|---|---|---|---|---|
| ろ紙・メンブレン のサイズ |
7.5 × 10.0 cm | 7.5 × 10.0 cm | ||
| 電圧 | 25 V | 10 V | 25 V | 10 V |
| 転写時間 | 10 分 | 30 分 | 10 分 | 30 分 |
| 最大電流値 (転写開始時) |
約 1.6 A | 約 550 mA | 約 1.6 A | 約 530 mA |
| 転写後染色像 ▶ 200 kDa ▶ 45 kDa ▶ 21.5 kDa |
![]() |
![]() |
![]() |
![]() |
| <実験条件> | ||||
| サンプル | : | ① Protein Ladder One Plus, Triple-color for SDS-PAGE(#19593-25) 5 μL ② ~ ④ タンパク質マーカー(10倍濃縮)(#29458-24)を ① 3 ×、② 1 ×、③ 1/3 に調製し、各 2 μL/レーン添加 ⑤ HeLa 細胞懸濁液 10 μg/レーン |
||
| SDS-PAGE | : | Bullet PAGE Plus Precast Gel, 5-20%, 17wells(#21794-54) 400 V Extra PAGE One Precast Gel, 5-20%, 13wells(#13063-74) 300 V Laemmli 法ゲル 12% 200 V WIDE RANGE Gel(WIDE RANGE Gel Preparation Buffer(4x) for PAGE(#07831-94)を使用して調製) 10% 200 V |
||
| 転写 | : | 表内を参照 PVDF(ポアサイズ ; 0.45 μm)を使用 | ||
| CBB 染色 | : | CBB Stain One(Ready To Use)(#04543) | ||
顧客使用例
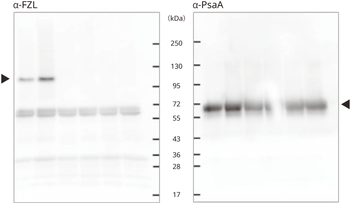
ウェスタンブロッティング : Bullet PAGE One ゲルの本製品による高速転写
Bullet PAGE One Precast Gel にて電気泳動後、本製品により高速転写を行い、植物タンパク質 α-FZL および α-PsaA の検出を行いました。

| <実験条件> | ||||
| サンプル | : | 植物(野生型および変異型)より抽出したチラコイドタンパク質 | ||
| SDS-PAGE | : | Bullet PAGE One Precast Gel, 5-15%, 13wells(販売終了)400 V、 12 分 | ||
| 転写 | : | Bullet Semi-dry Transfer One(#15353-01)25 V、10 分 | ||
| ブロッキング | : | Bullet Blocking One for Western Blotting(#13779)室温 5 分 | ||
| 一次抗体 | : | [α-FZL] α-FZL 抗体(自家調製)1,000 倍希釈 [α-PsaA] α-PsaA 抗体(自家調製)3,000 倍希釈 30 mM Tris-HCl、0.2 M NaCl、0.1% Tween 20 にて希釈 室温 2 時間 |
||
| 二次抗体 | : | [α-FZL、α-PsaA] Anti-Rabbit IgG、 HRP-Linked Whole Ab Donkey(Cytiva #NA-934)2,500 倍 希釈 30 mM Tris-HCl、0.2 M NaCl、0.1% Tween 20 にて希釈 室温 1 時間 |
||
| 検出 | : | LAS-4000(Cytiva)で撮影(露光時間 [α-FZL] 30 秒、[α-PsaA] 2 分) ECL Prime Western Blotting Detection Reagent(Cytiva #RPN2232) |
||
Tween はクローダ インターナショナル ピーエルシーの登録商標です。
ECL は、Cytiva として事業を行う Global Life Sciences Solutions USA LLC およびその関連会社の商標です。
[使用者の評価]
Bullet PAGE One、 Bullet Semi-dry Transfer One および Bullet Blocking One を使用することにより、従来行っている方法と同様の結果を短時間で得ることができた。
転写確認 : TGX ゲルの本製品による高速転写
ミニプロティアン TGX プレキャストゲルにて電気泳動後、本製品により高速転写を行い、CBB 染色による転写確認を行いました。

| <実験条件> | ||||
| サンプル | : | ① プレシジョン Plus プロテイン ブルースタンダード(バイオ・ラッド ラボラトリーズ #1610373) ② 293T 細胞懸濁液 ③ 293T 細胞懸濁液(② を 2 倍希釈したもの) |
||
| SDS-PAGE | : | 4-20% ミニプロティアン TGX プレキャストゲル(バイオ・ラッド ラボラトリーズ #4561095) | ||
| 転写 | : | Bullet Semi-dry Transfer One(#15353-01) 25 V、10 分 | ||
| CBB 染色 | : | Bullet CBB Stain One(Ready To Use) (販売終了) | ||
[使用者の評価]
従来は平衡化に 15 分、転写に 1 時間かかっていたのが、10 分に短縮できてウェスタンブロッティングが楽になったので、とてもうれしい。ほかのユーザーも大変喜んでいる。
ウェスタンブロッティングと転写確認 : Laemmli 法ゲルの本製品による高速転写
Laemmli 法ゲル(自家調製)にて電気泳動後、本製品により高速転写を行い、GFP タグ標識タンパク質の検出およびアミドブラック染色による転写確認を行いました。

| <実験条件> | ||||
| サンプル | : | HEK293 細胞懸濁液 M Protein Ladder One Plus, Triple-color for SDS-PAGE(#19593-25) ① AcGFP tag(Positive Control)、 ⑤(Negative Control) ② ~ ④、⑥ ~ ⑨ AcGFP tag 標識タンパク質 |
||
| SDS-PAGE | : | Laemmli 法ゲル(12%) | ||
| 転写 | : | Bullet Semi-dry Transfer One(#15353-01) 25 V、12 分* *電源装置の仕様により、転写開始約 2 分後より 25 V に到達、到達後 10 分の転写を実施。 |
||
| ブロッキング | : | Bullet Blocking One for Western Blotting(#13779) 室温 5 分 | ||
| 一次抗体 | : | Anti-GFP pAb-HRP-DirecT(MBL #598-7) Bullet ImmunoReaction Buffer(#18439)にて希釈 室温 30 分 |
||
| 検出 | : | LuminoGraph Ⅰ(アトー)で撮影(露光時間 2 分) EzWestLumi plus(アトー #2332637) |
||
| アミドブラック染色 | : | アミドブラック染色液(自家調製)にて染色 | ||
[使用者の評価]
Towbin 法組成転写緩衝液によるセミドライ式転写と比較し、ムラなどがなく遜色のない結果が短時間で得ることができる。ルーティンでの使用に有用である。
FAQ(よくあるご質問/トラブルシュート)
- Bullet Semi-dry Transfer One は、どのような製品ですか?
- 本製品は、セミドライ式ブロッティング用の転写緩衝液です。 本製品の使用により、10 分(25 V 定電圧)で転写が完了します。
- 使用方法を教えてください。
- 転写装置の電極に、ろ紙 6 枚を本製品に浸して重ねます。 その上に、メンブレンとゲルを重ね、さらに本製品に浸したろ紙 6 枚を重ねて、転写を行います。転写前にゲルの平衡化は不要です。使用方法の詳細は、取扱説明書をご参照ください。
- 転写前に Bullet Semi-dry Transfer One によるゲルの平衡化を行う必要はありますか?
- 本製品によるゲルの平衡化は、転写効率を低下させるため、行わないでください。
- あらゆるゲルに対して使用可能ですか?
- 可能です。 本製品のさまざまなゲルへの使用例は、BULLETIN L-140、HP をご参照ください。
- 転写を行うミニゲルの枚数が1枚の場合と2枚の場合で、転写時間やかける電圧を変える必要はありますか?
- 転写時間およびかける電圧を変える必要はありません。 ただし、ミニゲルを 2 枚使用する場合、1 枚使用時よりも電流値が高くなるため(最大電流値:約 2.4 A)、お手持ちのパワーサプライの出力可能電流をご確認ください。
- 転写時間を延ばすと、検出感度は上がりますか?
- 一概に上がるとは言えません。 25 V 定電圧 10 分の転写で検出感度が不十分の場合は、転写時間を延長することにより感度が上がる場合があります。一方、過度な転写によりタンパク質がメンブレン膜を通り過ぎてしまう可能性もあるため、予備検討を行っていただく必要があります。
- 手持ちのパワーサプライの出力可能電圧は 25 V 以上ですが、約 10 分で転写が完了しないのはなぜですか?
- お手持ちのパワーサプライが、高電流を出力できない可能性があります。 バレット PAGE ワンを 2 枚転写する場合、最大電流値は約 2.4 A となり、それ以上の電流を出力できるパワーサプライが必要となります。上記に対応可能なパワーサプライがご用意できない場合は、10 V 定電圧で 30 分転写を行うことで、25 V 定電圧 10 分と同等の転写を得ることができます。
- 転写後に、マーカー(#19593-25 Protein Ladder One Triple-color)がゲルから抜けていなかったのですが、問題ありませんか?
- 転写後のマーカーが目視でメンブレンに見えるのであれば、問題ありません。
- 転写後に、一番下側(陽極側)のろ紙が黄色くなっていましたが、問題ありませんか?
- 発熱による焦げ等ではないため、問題ありません。
価格表
関連製品
Bullet シリーズ
Bullet シリーズは SDS-PAGE から CBB 染色もしくはウェスタンブロッティングを高速化する試薬です。 シリーズすべてを使用していただくことにより、CBB 染色が約 30 分、ウェスタンブロッティングが約 2 時間で完了できます。
| 工程 | 製品名 | 時間 |
|---|---|---|
| SDS-PAGE | Bullet PAGE Plus Precast Gel | 約 10 分 |
| CBB 染色 | Bullet CBB Stain Lite | 15 分 |
| 転写 | Bullet Semi-dry Transfer One | 10 分 |
| ブロッキング | Bullet Blocking One | 5 分 |
| 抗原抗体反応 | Bullet ImmunoReaction Buffer | 従来の約半分 |
※研究者の皆さまのご所属などは、データご提供時の情報に基づいています。
※掲載内容は予告なく変更になる場合があります。























